
Facial trauma that results in fractured, displaced, or lost teeth can have significant negative functional, esthetic, and psychological effects on children. Dentists and physicians should collaborate to educate the public about prevention and treatment of traumatic injuries to the oral and maxillofacial region.
The greatest incidence of trauma to the primary teeth occurs at 2 to 3 years of age, when motor coordination is developing. The most common injuries to permanent teeth occur secondary to falls, followed by traffic accidents, violence, and sports. All sporting activities have an associated risk of orofacial injuries due to falls, collisions, and contact with hard surfaces. The AAPD encourages the use of protective gear, including mouthguards, which help distribute forces of impact, thereby reducing the risk of severe injury.
Dental injuries could have improved outcomes if the public were aware of first-aid measures and the need to seek immediate treatment. Because optimal treatment results follow immediate assessment and care, dentists have an ethical obligation to ensure that reasonable arrangements for emergency dental care are available. The history, circumstances of the injury, pattern of trauma, and behavior of the child and/or caregiver are important in distinguishing nonabusive injuries from abuse.
Practitioners have the responsibility to recognize, differentiate, and either appropriately manage or refer children with acute oral traumatic injuries, as dictated by the complexity of the injury and the individual clinician’s training, knowledge, and experience. Compromised airway, neurological manifestations (eg, altered orientation), hemorrhage, nausea/vomiting, orsuspected loss of consciousness requires further evaluation by a physician.
To efficiently determine the extent of injury and correctly diagnose injuries to the teeth, periodontium, and associated structures, a systematic approach to the traumatized child is essential. Assessment includes a thorough medical and dental history, clinical and radiographic examination, and additional tests such as palpation, percussion, sensitivity, and mobility evaluation. Intraoral radiography is useful for the evaluation of dentoalveolar trauma. If the area of concern extends beyond the dentoalveolar complex, extraoral imaging may be indicated. Treatment planning takes into consideration the patient’s health status and developmental status, as well as extent of injuries. Advanced behavior guidance techniques or an appropriate referral may be necessary to ensure that proper diagnosis and care are given.
All relevant diagnostic information, treatment, and recommended follow-up care should be documented in the patient’s record. A standardized trauma form can guide the practitioner's clinical assessment and provide a way to record the essential aspects of care in an organized and consistent manner. Well-designed and timely follow-up procedures are essential to diagnose and manage complications.
After a primary tooth has been injured, the treatment strategy is dictated by the concern for the safety of the permanent dentition. If determined that the displaced primary tooth has encroached upon the developing permanent tooth germ, removal is indicated. In the primary dentition, the maxillary anterior region is at low risk for space loss unless the avulsion occurs prior to canine eruption or the dentition is crowded. Fixed or removable appliances, while not always necessary, can be fabricated to satisfy parental concerns for esthetics or to return a loss of oral or phonetic function.
When an injury to a primary tooth occurs, informing parents about possible pulpal complications, appearance of a vestibular sinus tract, or color change of the crown associated with a sinus tract can help assure timely intervention, minimizing complications for the developing succedaneous teeth. Also, it is important to caution parents that the primary tooth’s displacement may result in any of several permanent tooth complications, including enamel hypoplasia, hypocalcification, crown/root dilacerations, or disruptions in eruption patterns or sequence. The risk of trauma-induced developmental disturbances in the permanent successors is greater in children whose enamel calcification is incomplete.
The treatment strategy after injury to a permanent tooth is dictated by the concern for vitality of the periodontal ligament and pulp. Subsequent to the initial management of the dental injury, continued periodic monitoring is indicated to determine clinical and radiographic evidence of successful intervention (ie, asymptomatic, positive sensitivity to pulp testing, root continues to develop in immature teeth, no mobility, no periapical pathology). Initiation of endodontic treatment is indicated in cases of spontaneous pain, abnormal response to pulp sensitivity tests, lack of continued root formation or apexogenesis, or breakdown of periradicular supportive tissue. To restore a fractured tooth’s normal esthetics and function, reattachment of the crown fragment is an alternative that should be considered.
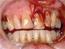
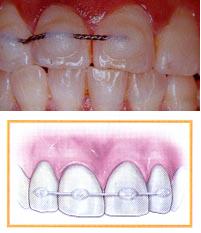
To stabilize a tooth following traumatic injury, a splint may be necessary.
Flexible splinting assists in healing.
Characteristics of the ideal splint include:
1. easily fabricated in the mouth without additional trauma;
2. passive unless orthodontic forces are intended;
3. allows physiologic mobility;
4. nonirritating to soft tissues;
5. does not interfere with occlusion;
6. allows endodontic access and vitality testing;
7. easily cleansed;
8. easily removed.
Instructions to patients having a splint placed include to:
1. consume a soft diet;
2. avoid biting on splinted teeth;
3. maintain meticulous oral hygiene;
4. use chlorhexidine/antibiotics if prescribed;
5. call immediately if splint breaks/loosens.

